


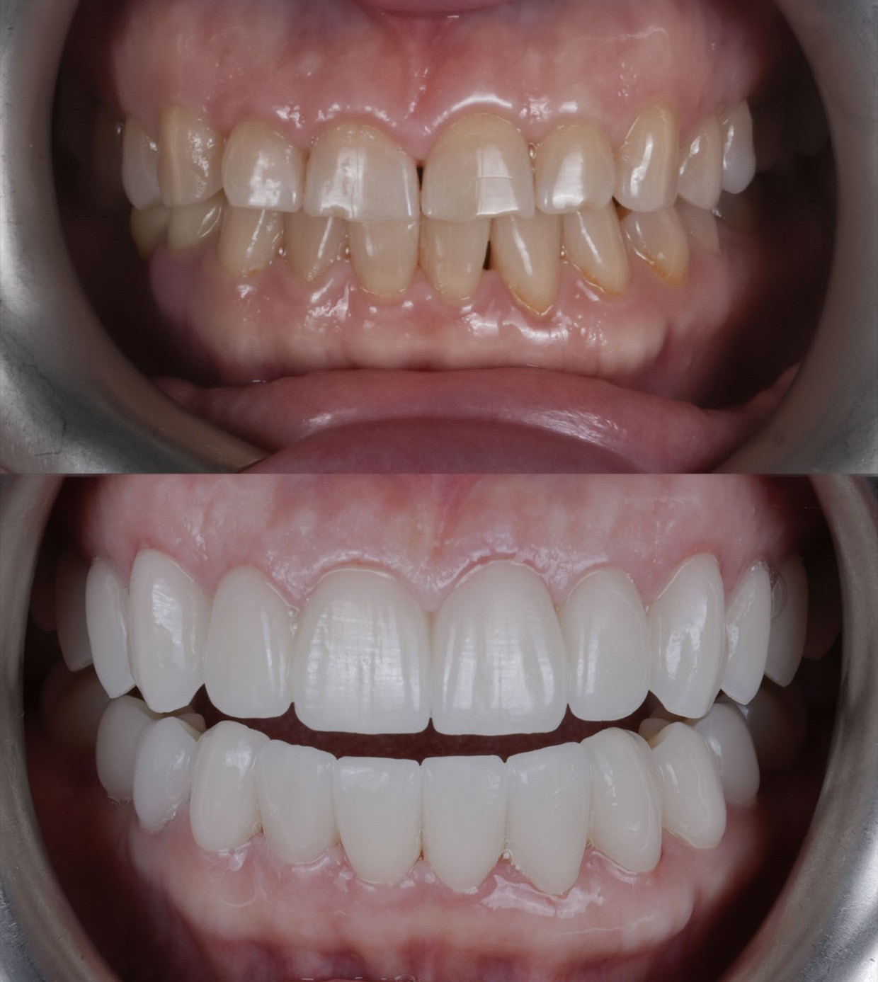
Keramické korunky a fazety
Keramické korunky
Keramické korunky zhotovujeme z nejvhodnějších materiálů s ohledem na konkrétní klinickou situaci, funkční požadavky i estetická očekávání pacienta. Při výrobě využíváme nejmodernější digitální technologie CAD/CAM, které zaručují vysokou přesnost, dlouhodobou stabilitu a přirozený vzhled náhrady.
Korunky realizujeme jak na vlastních zubech, tak i na implantátech, vždy s důrazem na maximální funkčnost, biologickou kompatibilitu a estetiku.
Fazety
Keramické fazety představují šetrné a vysoce estetické řešení úpravy tvaru, barvy či postavení zubů. Zhotovujeme je buď technikou vrstvené keramiky pro dosažení maximální estetiky a individuality, nebo z monolitických CAD/CAM bloků, které vynikají precizností zpracování a mechanickou odolností.
Každá práce je výsledkem individuálního přístupu, precizního zpracování a důrazu na detail.


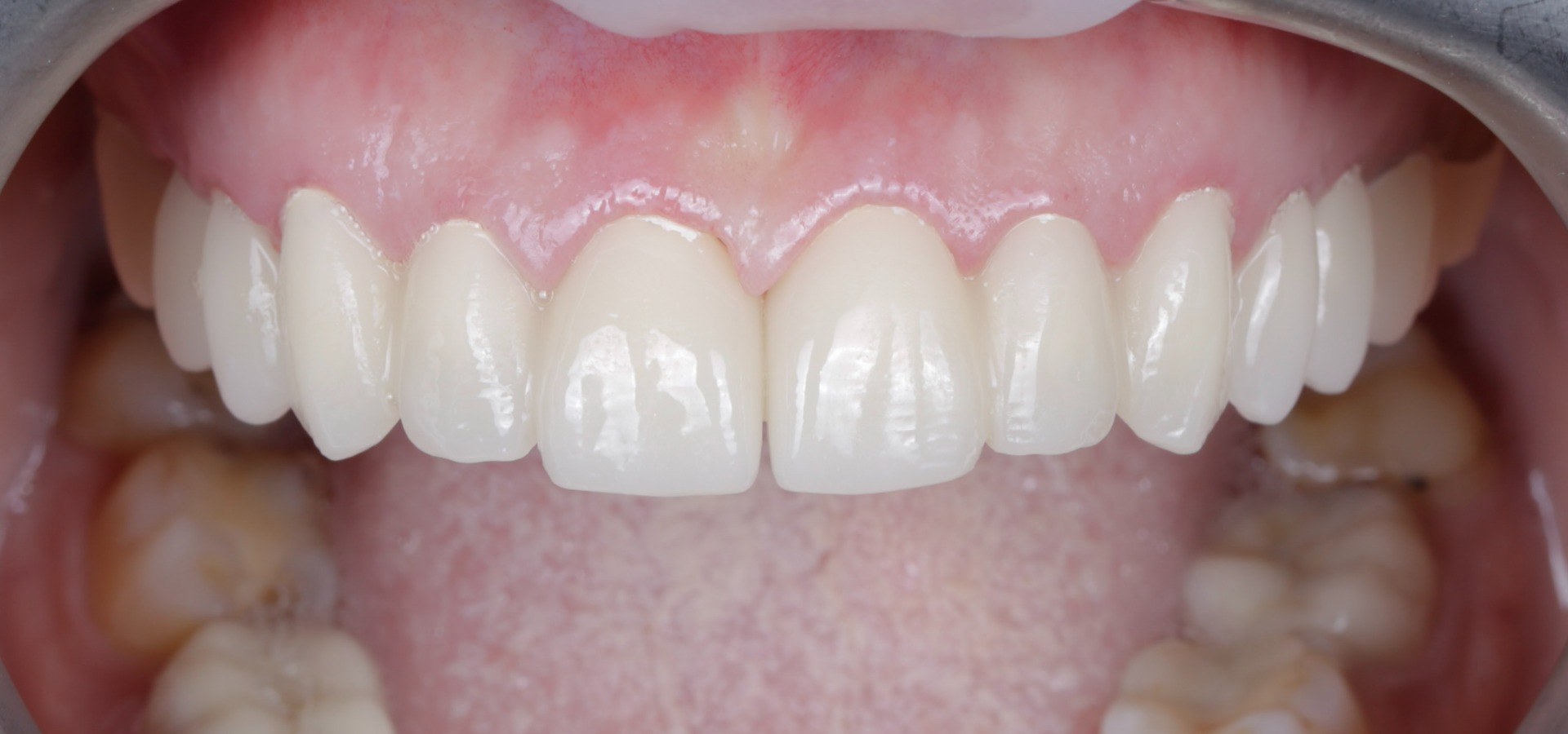
Celoanatomická rekonstrukce
Celoanatomická monolitická rekonstrukce představuje prémiové, vysoce odolné řešení zhotovené z jednoho kompaktního materiálu.
Finální estetika je dotvořena technikou Stain & Glaze, která náhradě propůjčuje přirozenou barevnost, hloubku a jemné charakteristiky typické pro přirozený zub.
Výsledkem je spojení precizní funkčnosti a sofistikované estetiky.





Vrstvená rekonstrukce
Plně vrstvená keramická rekonstrukce je zhotovena ručním nanášením, díky čemuž umožňuje dokonalou imitaci přirozené estetiky zubu. Každá vrstva je precizně modelována tak, aby byla dosažena maximální hloubka barvy, translucence a individuální charakter.
Tento typ rekonstrukce lze realizovat jak formou fazet, tak i celokeramických korunek. Výsledkem je exkluzivní estetické řešení s důrazem na detail a přirozený vzhled.



Provizorní korunky
Provizorní korunky jsou nedílnou součástí rozsáhlejších rekonstrukcí chrupu. Slouží jako dočasné řešení a zároveň jako důležitá fáze před finální prací.
Pacient má v tomto období možnost posoudit tvar, velikost i celkovou estetiku budoucí rekonstrukce a případně sdělit své připomínky. Díky tomu lze finální náhradu precizně přizpůsobit funkčním i estetickým požadavkům.


Tisk 3D Modelu
Přesný 3D tisk modelů pro výrobu dlah na bruxismus, nosičů na bělení zubů a implantačních šablon. Moderní technologie zajišťuje vysokou přesnost a spolehlivost pro stomatologické využití.
